Bệnh viện Đa khoa Quang Thành vừa tiếp nhận bệnh nhân P.
(52 tuổi, xã Quỳnh Sơn) nhập viện trong tình trạng đau đầu, nôn vọt, chóng mặt.
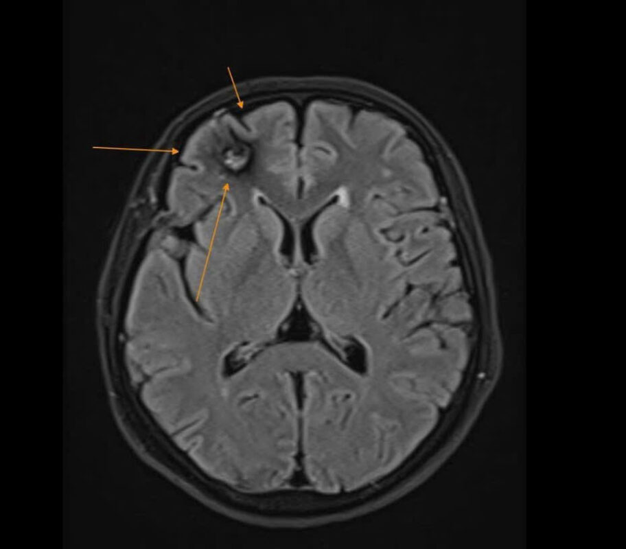
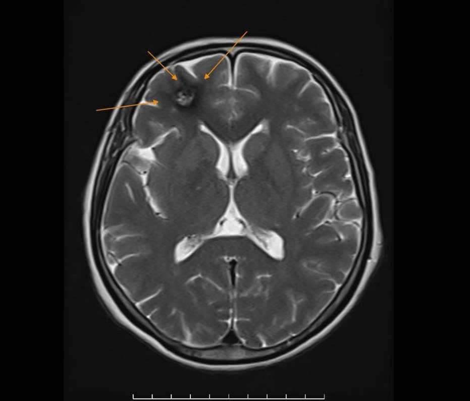
Trước đó, người bệnh đã chụp cắt lớp vi tính (CT scanner) sọ não tại một cơ sở y tế khác nhưng không phát hiện bất thường. Sau khi thăm khám, bệnh nhân được bác sĩ tư vấn chụp cộng hưởng từ sọ não (MRI 1.5 Tesla) tại Bệnh viện Đa khoa Quang Thành, kết quả cho thấy:
U máu thể hang (Cavernoma) có biến chứng xuất huyết giai đoạn bán cấp.
Tổn thương này có nguy cơ gây co giật hoặc tái xuất huyết; nếu không được phát hiện và theo dõi sớm có thể để lại hậu quả nặng nề.

MRI 1.5 Tesla – “Tiêu chuẩn vàng” trong phát hiện bệnh lý não và thần kinh
MRI 1.5 Tesla là phương pháp chẩn đoán hình ảnh hiện đại, không sử dụng tia X, cho phép quan sát chi tiết cấu trúc mô mềm của não mà các phương pháp khác như X-quang hay CT scanner khó phát hiện.
Với hệ thống MRI 1.5 Tesla hiện đại tại Bệnh viện Đa khoa Quang Thành, bác sĩ có thể:
Phát hiện sớm tổn thương não, u não, dị dạng mạch máu, nhồi máu não, xuất huyết não ở giai đoạn rất sớm.
Theo dõi tiến triển bệnh lý chính xác, an toàn, không xâm lấn.
Áp dụng được cho người cao tuổi, trẻ em và phụ nữ mang thai.
Khi nào nên chụp MRI sọ não?

Người dân nên đến cơ sở y tế để được khám và chụp MRI sọ não khi có các dấu hiệu:
Đau đầu kéo dài, tăng dần, kèm nôn hoặc chóng mặt.
Co giật, rối loạn thị giác, giảm trí nhớ.
Có tiền sử bệnh lý mạch máu não, chấn thương đầu, hoặc các cơn chóng mặt không rõ nguyên nhân.



